Một ca nhổ răng hoàn thiện là khi toàn bộ phần chân răng được lấy ra khỏi lợi. Tuy nhiên, trong một số trường hợp do nhiều nguyên nhân có thể bỏ sót hoặc để lại chân răng. Vậy nhổ răng còn sót chân răng có sao không? Nên xử lý như thế nào? Cùng tìm hiểu chi tiết trong bài viết sau đây.
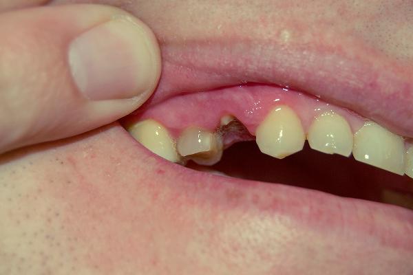
1. Dấu hiệu nhổ sót chân răng
Dưới đây là một số dấu hiệu nhổ răng bị sót chân răng phổ biến:
- Đếm số chân răng đã nhổ không đủ
Nếu bạn kiểm tra thấy số lượng răng ít hơn hoặc răng đã nhổ không nguyên vẹn thì có thể bác sĩ nhổ bị sót chân răng.
- Bị đau nhức, sưng tấy kéo dài
Sau khi nhổ răng 2 - 3 ngày nhưng tình trạng đau nhức không thuyên giảm kèm theo dấu hiệu sưng tấy thì có thể là do nhổ chân răng còn sót.
Ngoài ra, dựa vào hình ảnh chụp X-quang răng sau khi nhổ, bạn có thể nhìn thấy được tình trạng răng đã được nhổ hết hay chưa.
2. Nguyên nhân nhổ răng bị sót chân do đâu?
Trường hợp chân răng bị sót sau khi nhổ có thể do tay nghề bác sĩ hoặc tình trạng răng thực tế của bệnh nhân. Theo đó:
2.1. Nguyên nhân khách quan
Với những bác sĩ có ít kinh nghiệm, tay nghề còn kém, thao tác nhổ răng không chuẩn xác có thể dẫn đến để sót chân răng. Một số trường hợp bác sĩ không thận trọng trong quá trình thăm khám, không cho bệnh nhân chụp X - quang để xác định vị trí, hình dáng răng trước khi nhổ, từ đó tăng nguy cơ chân răng bị sót lại.

2.2. Nguyên nhân sót chân răng có chủ đích
Để sót chân răng có chủ đích được thực hiện theo chỉ định của bác sĩ nhằm bảo vệ cấu trúc dưới răng, hạn chế biến chứng như tổn thương mô, tê nửa hàm,… Dưới đây là một số trường hợp cần để lại chân răng theo chỉ định của bác sĩ:
- Răng mọc ở vị trí sâu trong hàm, gần các ống thần kinh và mạch máu.
- Chân răng dính với xương hàm, lúc này nếu lấy toàn bộ chân răng có thể ảnh hưởng đến xương.
- Phần chân răng bị biến dạng như cong, quặp,… khả năng gặp biến chứng cao nếu nhổ toàn bộ.
3. Nhổ răng còn sót chân răng có sao không?
Nhổ răng còn sót mảnh răng có sao không còn tùy thuộc nguyên nhân gây nên tình trạng này. Nếu để sót chân răng do chủ đích của bác sĩ thì bạn không cần phải lo lắng. Nhưng nếu sót chân răng do tay nghề bác sĩ, phương pháp thực hiện chưa phù hợp,… sẽ để lại biến chứng như sưng tấy, đau nhức ảnh hưởng đến sinh hoạt của người bệnh. Tình trạng này kéo dài có thể khiến vùng nướu bị sưng tấy, mưng mủ, thậm chí nhiễm trùng. Vì vậy, khi nhận thấy dấu hiệu nhổ bị sót chân răng, bạn nên nhanh chóng đến gặp bác sĩ để thăm khám và có phương án điều trị phù hợp.
4. Cách xử lý chân răng bị sót sau khi nhổ an toàn
Tùy vào tình trạng chân răng còn sót lại sau khi nhổ, bác sĩ đưa ra một trong hai phương án xử lý sau:
4.1. Chân răng còn sót không gây đau, viêm nhiễm
Nếu chân răng sót lại không gây đau, viêm thì bác sĩ chỉ định không thực hiện lấy chân răng ngay mà có thể hẹn lại sau một thời gian. Vì khi thực hiện lấy chân răng ngay có thể làm tổn thương nướu răng nặng hơn, thậm chí tác động đến dây thần kinh và mạch máu xung quanh.
4.2. Chân răng còn sót gây biến chứng
Trường hợp chân răng sót lại gây đau nhức, viêm nhiễm, mưng mủ,… bác sĩ sẽ kê đơn thuốc cho bệnh nhân giúp giảm triệu chứng, tránh lan sang các mô xung quanh. Và khi tình trạng viêm giảm, bác sĩ sẽ tiến hành lên lịch nhổ bỏ chân răng sớm nhất.
5. Làm sao để tránh nguy cơ nhổ răng còn sót chân?
Để hạn chế nguy cơ nhổ sót chân răng, bạn nên lưu lại ngay một số lưu ý sau:
- Ngay từ đầu khi quyết định nhổ răng, nên lựa chọn địa chỉ nha khoa uy tín, có đội ngũ bác sĩ chuyên môn cao - giàu kinh nghiệm trong nha khoa tổng quát và tiểu phẫu.
- Bác sĩ thăm khám kỹ lưỡng, chỉ định chụp X-quang răng giúp đánh giá vị trí răng mọc, xương hàm, tình trạng răng, từ đó lên kế hoạch nhổ răng phù hợp.
- Sau khi nhổ, bác sĩ/y tá kiểm tra lại răng đã nhổ, đảm bảo chân răng đã được lấy ra hoàn toàn.
- Trong 7 ngày sau khi nhổ răng, bạn cần theo dõi vết thương, nếu có bất kỳ dấu hiệu sưng, đau hoặc bất thường nào thì cần đến ngay nha khoa để được kiểm tra và xử lý kịp thời.
6. Các thắc mắc khác về tình trạng nhổ sót chân răng
Cùng tìm hiểu thêm một số câu hỏi dưới đây giúp bạn có thêm kiến thức về tình trạng nhổ sót chân răng:
6.1. Nhổ răng khôn còn sót chân răng có sao không?
Nếu nhổ răng khôn còn sót chân răng không bị sưng đau hoặc viêm nhiễm thì bạn không cần lo lắng, có thể bác sĩ cố tình để lại một phần bên trong. Theo thời gian, chân răng sẽ được đẩy lên từ từ, hoặc nếu chân răng không bị hở ra ngoài nướu thì có thể tự liền vào xương.
Tuy nhiên nhiều trường hợp nhổ sót chân răng số 8 là do tay nghề bác sĩ kém, lúc này có thể gây nên tình trạng sưng đau, viêm nhiễm. Lúc này, bệnh nhân nên vệ sinh sạch sẽ răng miệng, ngăn ngừa tình trạng vi khuẩn lan sang các răng kế cạnh. Sau đó đến ngay nha khoa uy tín để được bác sĩ kiểm tra và có cách xử lý kịp thời.
6.2. Nhổ răng sữa bị sót chân phải làm sao?
Khi người lớn tự nhổ răng cho con tại nhà nhưng không đúng kỹ thuật có thể khiến chân răng sữa bị sót lại. Tuy nhiên, nếu trẻ gặp tình trạng này, cha mẹ cũng không cần quá lo lắng. Theo bác sĩ nha khoa, khi răng vĩnh viễn mọc lên, chân răng sữa sẽ bị tiêu biến bởi các phản ứng của cơ thể. Vì vậy, nhổ răng cho trẻ còn chân răng sữa, cha mẹ không cần thiết phải nạo chân răng.
Nhưng tốt nhất, cha mẹ không nên tự ý nhổ răng cho bé tại nhà mà nên lựa chọn phòng khám nha khoa uy tín để bác sĩ thăm khám và đưa ra kế hoạch nhổ răng phù hợp cho trẻ. Từ đó hỗ trợ trẻ mọc răng vĩnh viễn đúng vị trí, giảm thiểu biến chứng.

6.3. Chăm sóc răng sau khi nhổ còn sót chân răng thế nào?
Nếu phát hiện sau khi nhổ còn có chân răng sót lại, bạn nên chú ý trong quá trình chăm sóc để hạn chế biến chứng không mong muốn. Cụ thể cách chăm sóc chân răng bị sót lại như sau:
- Không tự ý chạm, lấy chân răng bằng tay, lưỡi hay bất cứ dụng cụ nào, vì có thể làm tăng nguy cơ nhiễm trùng, chảy nhiều máu hơn.
- Theo dõi vùng chân răng sót lại có cảm giác đau, nhức, dấu hiệu gì bất thường hay không. Nếu không, bạn không cần lấy phần chân răng sót lại.
- Tích cực chườm khăn lạnh ở vị trí răng nhổ giúp giảm đau hiệu quả. Chú ý vệ sinh răng miệng và ăn uống theo hướng dẫn của bác sĩ.
- Tái khám đúng hẹn với bác sĩ nha khoa để kiểm tra lại khả năng hồi phục và chân răng sót lại.
- Trường hợp chân răng nhiễm trùng, đau nhức hoặc chảy máu, bạn cần đến ngay cơ sở nha khoa uy tín để được điều trị kịp thời và có kế hoạch nhổ chân răng sớm.
Đến đây chắc hẳn bạn đã có câu trả lời cho câu hỏi nhổ răng còn sót chân răng có sao không và các biện pháp xử lý phù hợp. Đặc biệt, để tránh nguy cơ sót chân răng, ngăn ngừa biến chứng, điều quan trọng nhất là bạn nên tìm đến cơ sở nha khoa uy tín ngay từ đầu để thăm khám và điều trị.
Bài viết liên quan: >> Nhổ răng lúc nào là tốt nhất và thời điểm không nên nhổ? >> Nhổ răng bao lâu thì trồng lại được? Không trồng có sao không? >> Nhổ răng có ảnh hưởng gì không? Lưu ý để nhổ răng an toàn