Trang thông tin tổng hợp
Trang thông tin tổng hợp
  • Công Nghệ
  • Ẩm Thực
  • Kinh Nghiệm Sống
  • Du Lịch
  • Hình Ảnh Đẹp
  • Làm Đẹp
  • Phòng Thủy
  • Xe Đẹp
  • Du Học
Công Nghệ Ẩm Thực Kinh Nghiệm Sống Du Lịch Hình Ảnh Đẹp Làm Đẹp Phòng Thủy Xe Đẹp Du Học
  1. Trang chủ
  2. Hình Ảnh Đẹp
Mục Lục

Các bất thường bóng tim trên X quang

avatar
Katan
21:13 23/02/2026
Theo dõi trên

Mục Lục

Bài viết được tư vấn chuyên môn bởi Bác sĩ chuyên khoa I Trần Công Trình - Bác sĩ Chẩn đoán hình ảnh - Khoa Chẩn đoán hình ảnh - Bệnh viện Đa khoa Quốc tế Vinmec Central Park. Bác sĩ có nhiều năm kinh nghiệm trong lĩnh vực chẩn đoán hình ảnh.

Những thay đổi bất thường của bóng tim trên phim chụp X-quang là một dấu hiệu cảnh báo tình trạng bất thường bệnh lý ở tim như: Bóng tim to, nhỏ; nhĩ thất trái lớn, nhĩ phải lớn... Hình ảnh bất thường bóng tim trên phim chụp có thể giúp bác sĩ định hướng một số bệnh lý của tim mạch, từ đó đưa ra các chỉ định cận lâm sàng, chẩn đoán chính xác và có phương pháp điều trị phù hợp.

1. Bóng tim to

Để xác định bóng tim to trên phim chụp X-quang cần xác định tỷ lệ tim ngực, chỉ số tim ngực là tỷ lệ giữa kích thước chiều ngang của bóng tim và kích thước chiều ngang lồng ngực. Bóng tim bình thường trên phim chụp tim phổi thẳng có tỷ lệ tim ngực là từ 0,5-0,55. Bóng tim to khi tỷ lệ tim ngực lớn hơn 0,55.

Nguyên nhân gây ra hiện tượng bóng tim to trên phim chụp bao gồm:

  • Suy tim: Suy tim có thể do nhiều nguyên nhân gây ra, khi có tình trạng suy tim các tế bào cơ tim phải tăng sức làm việc, dẫn đến cơ tim bị phì đại, máu bị ứ lại trong buồng tim và tạo thành hình ảnh bóng tim to trên phim chụp X-quang.
  • Bệnh lý van tim: Một bất thường hệ thống van tim như: Hẹp hở van hai lá, van 3 lá hay van động mạch chủ... Cũng làm cho máu bị ứ lại trong buồng tim gây ra hiện tượng bóng tim lớn trên phim.
  • Tràn dịch màng ngoài tim: Tràn dịch màng ngoài tim là nguyên nhân gây hiện tượng khó thở, đau ngực trên lâm sàng. Tràn dịch màng ngoài tim là hiện tượng dịch giữa khoang màng ngoài tim tăng lên một cách bất thường, dẫn đến chèn ép tim. Hiện tượng dịch tăng ở màng ngoài tim bất thường cũng làm thay đổi hình ảnh bóng tim trên phim chụp X-quang.
  • Bệnh lý tim bẩm sinh như: Từ chứng fallot ( thấy tim hình giống chiếc ủng), bệnh Ebstein( tim có hình giống hình hộp)...
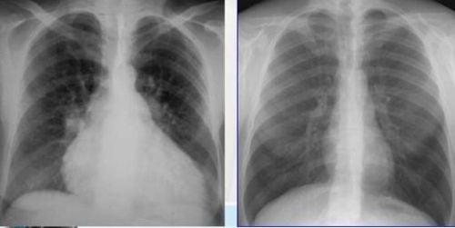
Hình ảnh bóng tim to trên X quang

2. Bóng tim nhỏ

Khi lồng ngực kéo dài, tim ở trạng thái treo. Lúc đó trục của tim gần như song song với trục đứng của cơ thể, người ta gọi là tim hình giọt nước, đường kính tim giảm rõ rệt. Tình trạng bóng tim nhỏ có thể gặp trong các bệnh lý như:

  • Bệnh khí phế thũng gây ra do sự mất chức năng của các túi phế nang và các tiểu phế quản do căng giãn quá mức hoặc bị phá hủy do quá trình viêm mạn tính. Tình trạng này kéo dài làm mất tính đàn hồi của hệ thống hô hấp, sau khi hít vào bệnh nhân bị khó thở ở thì thở ra nên không khí bị ứ lại tại phổi hình thành nên các túi khí chứa không khí nghèo oxy. Trên phim chụp X-quang điển hình là hình phổi ứ khí và bóng tim nhỏ hình giọt nước.
  • Bệnh phổi mạn tính, hen phế quản: Tình trạng này làm cho khí bị ứ tại phổi nên phim chụp X-quang lồng ngực rộng dạng hình thùng, bóng tim nhỏ.
  • Tình trạng thiếu máu, cơ thể suy kiệt: Trên phim chụp X-quang thấy hình ảnh lồng ngực nhỏ và bóng tim nhỏ.
Hen phế quản là nguyên nhân gây ra hiện tượng bóng tim nhỏ trên phim chụp

3. Lớn nhĩ trái

Hình ảnh bóng tim trên phim chụp X-quang thẳng và nghiêng, có thể thấy được tình trạng lớn nhĩ trái. Nhĩ trái lớn có thể do các nguyên nhân như:

  • Bệnh nhân bị hẹp và hở van hai lá: Tình trạng hẹp van hai lá làm cho nhĩ trái phải tăng co bóp đẩy máu xuống thất trai, lượng máu ở tâm nhĩ trái bị ứ lại gây lớn nhĩ trái. Hở van hai lá làm cho một lượng máu từ thất trái khi co bóp bị phụt ngược trở lại nhĩ trái, làm tăng lượng máu ở nhĩ trái dẫn đến hình ảnh lớn nhĩ trái trên phim chụp. Lớn nhĩ trái tùy mức độ mà biểu hiện trên phim khác nhau.
  • Suy tim: Trường hợp suy tim thường kèm theo hình ảnh bóng tim to.

4. Lớn nhĩ phải

Tình trạng lớn nhĩ phải thường gặp các nguyên nhân như: Bệnh tim bẩm sinh, bệnh van 2 lá và van 3 lá, bệnh tâm phế mạn...

Lớn nhĩ phải trên phim chụp X-quang được xác định nhờ độ lớn của nhĩ phải, nếu độ lớn của nhĩ phải lớn hơn 5,5 cm thì nghĩ tới nhĩ phải lớn.

Trẻ mắc bệnh tim bẩm sinh thường có hiện tượng lớn nhĩ phải

5. Thất phải lớn

Hình ảnh thất phải lớn có thể thấy rốn phổi giãn to; trên phim nghiêng có thể thấy hình ảnh mất khoảng sáng trước tim.

Nguyên nhân gây ra tình trạng thất phải lớn gồm:

  • Hẹp hở van động mạch phổi: Tình trạng này làm cho lượng máu bị ứ lại tại tâm thất phải dẫn tới giãn thất phải, gây ra hiện tượng thất phải lớn.
  • Hẹp van hai lá: Trường hợp hẹp van hai lá, sẽ thấy dấu hiệu kèm theo trên phim chụp là nhĩ trái to.
  • Bệnh lý tại phổi: Một số bệnh lý tại phổi làm tăng áp lực mạch máu tại phổi, dẫn tới tăng áp lực lên tâm thất phải. Dẫn tới tình trạng thất phải lớn.

Kỹ thuật chụp phim X-quang tim phổi là kỹ thuật đơn giản, giúp khảo sát bất thường của các cơ quan tại ngực như cơ, xương, phổi, tim. Trên phim có thể thấy những hình ảnh bất thường của bóng tim, từ hình ảnh đó có thể giúp định hướng chẩn đoán, chẩn đoán và theo dõi điều trị bệnh.

XEM THÊM

  • Những bệnh có thể chẩn đoán sớm nhờ chụp X-quang phổi
  • Chụp X quang có ảnh hưởng gì tới sức khỏe không?
  • Mức độ phóng xạ khi chụp X quang

Để đặt lịch khám tại viện, Quý khách vui lòng bấm số HOTLINE hoặc đặt lịch trực tiếp TẠI ĐÂY. Tải và đặt lịch khám tự động trên ứng dụng MyVinmec để quản lý, theo dõi lịch và đặt hẹn mọi lúc mọi nơi ngay trên ứng dụng.

0 Thích
Chia sẻ
  • Chia sẻ Facebook
  • Chia sẻ Twitter
  • Chia sẻ Zalo
  • Chia sẻ Pinterest
In
  • Điều khoản sử dụng
  • Chính sách bảo mật
  • Cookies
  • RSS
  • Điều khoản sử dụng
  • Chính sách bảo mật
  • Cookies
  • RSS

Trang thông tin tổng hợp melodious

Website melodious là blog chia sẻ vui về đời sống ở nhiều chủ đề khác nhau giúp cho mọi người dễ dàng cập nhật kiến thức. Đặc biệt có tiêu điểm quan trọng cho các bạn trẻ hiện nay.

© 2026 - melodious

Kết nối với melodious

vntre
vntre
vntre
vntre
vntre
thời tiết hải phòng Lịch âm
Trang thông tin tổng hợp
  • Trang chủ
  • Công Nghệ
  • Ẩm Thực
  • Kinh Nghiệm Sống
  • Du Lịch
  • Hình Ảnh Đẹp
  • Làm Đẹp
  • Phòng Thủy
  • Xe Đẹp
  • Du Học
Đăng ký / Đăng nhập
Quên mật khẩu?
Chưa có tài khoản? Đăng ký